Огромную опухоль удалили из тела жителя Владивостока

Огромную опухоль удалили из тела жителя Владивостока

Источник фото: t.me/minzdravpk

Приморские врачи спасли пациента с огромной кистой печени, сообщают «Вести:Приморье».

Во Владивостокскую клиническую больницу №1 бригадой скорой помощи доставили 53-летнего мужчину. По словам дочери, перед приездом врачей он жаловался на сильные боли в животе и выраженную слабость, после чего потерял сознание.

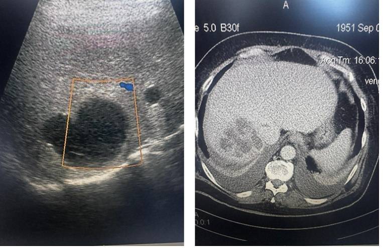
В пресс-службе Минздрава Приморья уточнили, в приёмном покое сразу провели обследование. УЗИ выявило огромную кисту, полностью закрывавшую печень — состояние требовало немедленного вмешательства.

«Под местной анестезией, под контролем УЗИ мы выбрали оптимальную точку доступа, установили дренаж и эвакуировали около двух литров жидкости из кисты. Затем ввели склерозирующие препараты — они позволяют “склеить” полость и избежать повторного заполнения», — рассказал руководитель отделения общей хирургии Игорь Кондрашов.

Процедура прошла быстро и безопасно благодаря слаженной работе хирургов, анестезиологов и специалистов УЗИ. Малоинвазивный доступ позволил избежать больших разрезов и тяжёлой реабилитации.

После нескольких дней наблюдения в стационаре пациент сможет вернуться домой.

«Вести:Приморье» в MAX

Источник: "Вести:Приморье" [ www.vestiprim.ru ]
Знаете больше подробностей? Присылайте информацию, видео и фото в редакцию "Вестей Приморья" на номер в MAX +7 (914) 076-47-77, чат-бот в Telegram или на адрес news@vestiprim.ru
«Вести: Приморье» в Telegram и MAX — подпишитесь на самые актуальные и интересные новости!
Информация

Комментировать статьи на сайте возможно только в течении 90 дней со дня публикации.