Иглу длиной в 3 сантиметра обнаружили в голове у 80-летней пациентки сахалинские рентгенологи

Иглу длиной в 3 сантиметра обнаружили в голове у 80-летней пациентки сахалинские рентгенологи

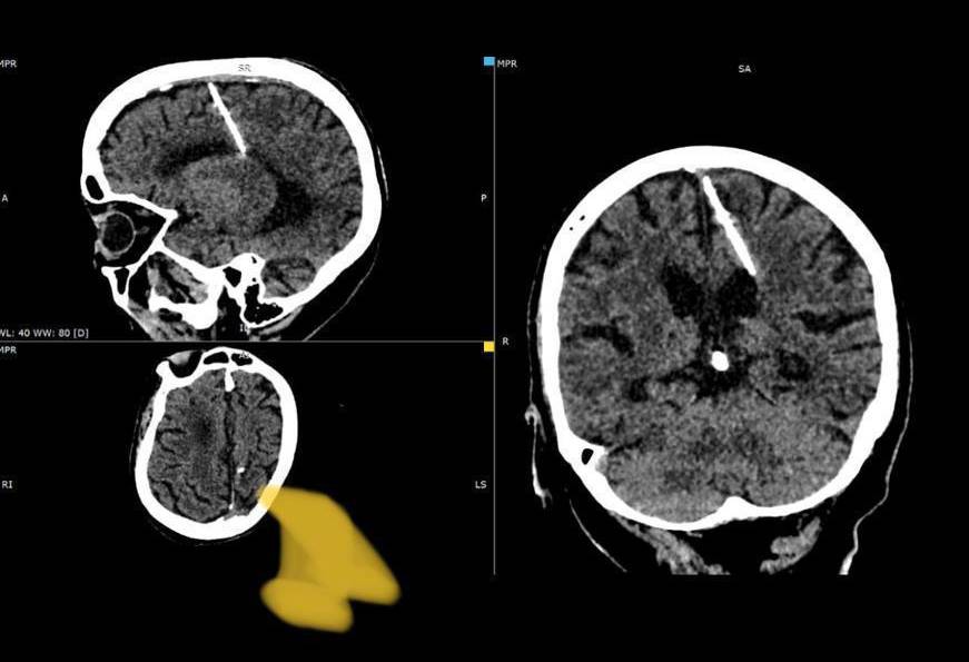
Об этом «ВЕСТИ: Приморье» сообщают со ссылкой на аккаунт ВК сахалинского минздрава. Пациентка пояснила врачам, что живёт с инородным телом с рождения, таким образом родители решили умертвить ребёнка в сложное военное время. Говорят, что такие случаи в голодные годы не были редкостью: младенцу в родничок вставлялась тонкая игла, которая повреждала мозг. Родничок быстро затягивался, скрывая следы преступления, а малыш погибал.

Игла проникла в левую теменную долю, но это не привело к ожидаемым последствиям – девочка выжила. Более того, в последствии её никогда не мучали головные боли. Инородное тело было выявлено только в этом году при проведении компьютерной томографии.

Здоровью пациентки ничего не угрожает, за её состоянием наблюдает лечащий врач. Оперативное вмешательство было решено не проводить, так как это может только ухудшить её состояние.

Источник: "Вести:Приморье" [ www.vestiprim.ru ]
Знаете больше подробностей? Присылайте информацию, видео и фото в редакцию "Вестей Приморья" на номер в MAX +7 (914) 076-47-77, чат-бот в Telegram или на адрес news@vestiprim.ru
«Вести: Приморье» в Telegram и MAX — подпишитесь на самые актуальные и интересные новости!
Информация

Комментировать статьи на сайте возможно только в течении 90 дней со дня публикации.